Your trusted CRO partner for preclinical studies of kidney disease

Our mission is to accelerate the development of novel therapies to treat kidney disease by combining scientific excellence with robust and reproducible preclinical models.

Our services

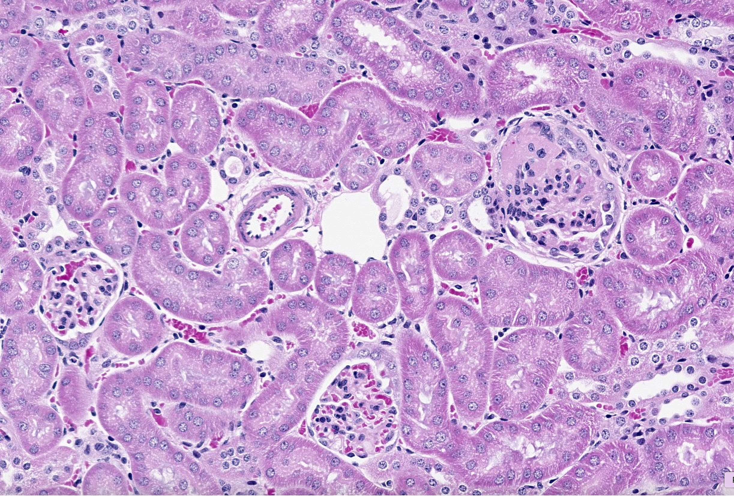
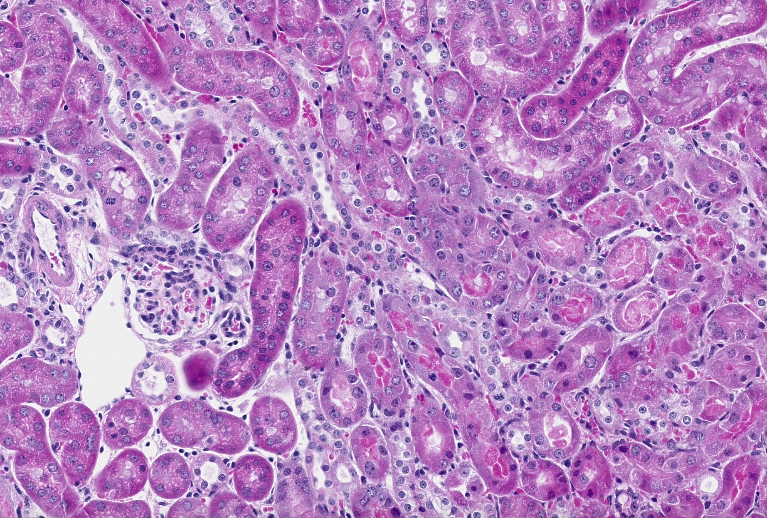
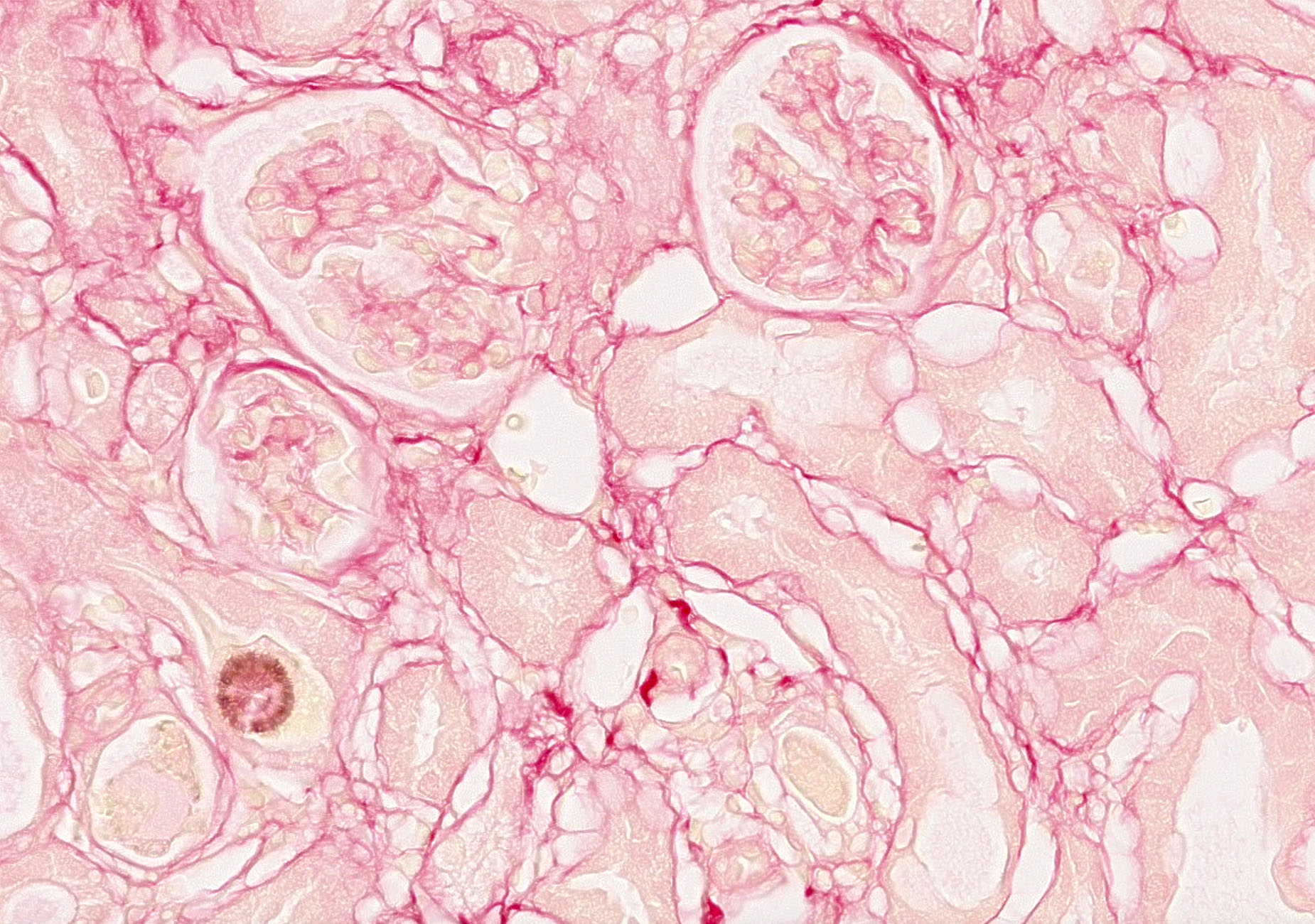
We provide high-quality, cost-effective in vivo and ex vivo models to study acute and chronic kidney disease and diabetic nephropathy. We are located at Karolinska Institutet 's campus in Stockholm with access to state-of-the-art technologies, including in vivo imaging, single-cell and bulk RNA sequencing, spatial transcriptomics, proteomics, super-resolution microscopy and AI-assisted histology analysis.

Our models of acute kidney injury (AKI) include ischemia-reperfusion injury (IRI), anti-GMB nephritis, and folic acid- and sepsis-induced acute kidney injury.

Our models of chronic kidney disease (CKD) include adenine-induced nephropathy, 5/6 nephrectomy, unilateral ureter obstruction (UUO) and the Col4a3 knockout mouse model of Alport syndrome.

Our models of diabetic nephropathy (DN) includes Streptozotocin (STZ)-induced diabetes type 1 and the Renin-AAV, unilateral nephrectomy, db/db mouse model of accelerated type 2 diabetes. 

Together with the Preclinical Imaging Facilityat KI we offer state-of-the-art preclinical imaging technologies including IVIS, μCT, ultrasound, PET/MRI and MPI. 

We offer cutting-edge bulk and single cell RNA sequencing, and spatial transcriptomic methods via KI core facilities and SciLifeLab.

Through collaborations with Magnephy and Aiosyn we offer super-resolution microscopy and AI-assisted histology analysis. 

About us

Alvolab (from the Portuguese word 'Alvo', meaning 'Target') is a contract research organization specialized in preclinical studies of kidney disease. Founded in 2023 as a spin-off from Karolinska Institutet, our team brings over 30 years of experience in translational kidney research from leading academic institutions including Harvard Medical School, Karolinska Institutet, and Uppsala University, as well as from the pharmaceutical industry.
Our mission is to accelerate the development of novel therapies to treat kidney disease by combining scientific excellence with robust and reproducible preclinical models. To that end, we provide high-quality, cost-effective in vivo and ex vivo models to study acute and chronic kidney disease and diabetic nephropathy. 
Contact us to learn more about our services and what we can do for your organization or company.

The team behind Alvolab

Hannes Olauson, MD PhD, CEO. Board-certified pathologist at Karolinska University Hospital and principal investigator with 15 years of experience in preclinical kidney disease research from Karolinska Institutet and and Harvard Medical School. Leads and participates in several European and national preclinical kidney disease research projects.

Mikhail Burmakin, MD PhD, Principal Scientist. Over 20 years of experience in preclinical research, from both academia (Uppsala University and Karolinska Institutet) and the pharmaceutical industry (Guard Therapeutics), with deep expertise in preclinical models of kidney disease.

Testimonials

Jenny van Asbeck-van der Wijst, PhD MBA, CEO Mercurna
We are pleased to collaborate with Alvolab, whose broad range of kidney disease models and deep expertise in relevant assays and readouts have been invaluable to our preclinical studies. We also greatly appreciate their clear communication and collaborative approach. We highly recommend Alvolab for their reliable, high-quality preclinical CRO services
Tobias Larsson Agervald, MD PhD, CEO Guard Therapeutics
We've partnered with Alvolab on several preclinical kidney disease programs and have been consistently impressed by the scientific quality and reliability of their work. Their broad expertise and cost-effective services make them a trusted partner. I highly recommend them to any company working in nephrology.
Name E-mail Message Submit

Contact us

Reach out to learn more about our services and what we can offer your organization or company

Visionsgatan 56, 171 64 Solna, Sweden

+46 733 665 449

contact@alvolab.com